что-то ужасное.
В приемный покой Республиканской клинической больницы обратился 53-летний мужчина. У него были все признаки перитонита, сообщает пресс-служба клиники.
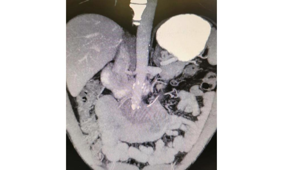
Как рассказал сам пациент, недавно он случайно проглотил рыбью кость, однако не придал этому какого-то особого значения. Татарстанец и не подумал, что может произойти что-то ужасное.
В РКБ ему сделали МРТ и повели на операцию. В итоге выяснили, что кость проткнула кишечник и вышла в брюшную полость.
— Хирурги аккуратно удалили кость, зашили кишечник и перевели пациента в палату. Через несколько дней мужчину в удовлетворительном состоянии выписали домой, – рассказали в пресс-службе РКБ.
Ранее KazanFirst писал, что в ДРКБ Казани прооперировали девочку из Челнов, упавшую с высоты пятого этажа.
Читайте также: Врачи БСМП Челнов удалили из груди пациентки 400-граммовую опухоль

