Врачи спасли 70-летнюю женщину от смертельно опасного «соседа» в желудке. Причиной экстренного обращения в больницу стала обычная слабосоленая сельдь, купленная у частников. Об этом сообщает «Комсомольской правды» — Дальний Восток».
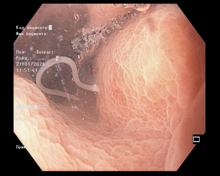
Пенсионерка поступила в Приморскую краевую клиническую больницу №1 с жалобами на острые, режущие боли в животе. Проведенная гастроскопия показала, что на слизистой оболочке желудка два живых червей длиной около четырех сантиметров, которые уже успели присосаться к стенкам органа.
Медики поставили диагноз анизакидоз. Это острое паразитарное заболевание, вызываемое личинками гельминтов, которые попадают в организм человека вместе с сырой или плохо обработанной рыбой. Как выяснилось, накануне женщина полакомилась селедкой, приобретенной «с рук» у уличных продавцов.
С помощью специальных эндоскопических щипцов паразиты были извлечены. Сразу после процедуры пациентка почувствовала значительное облегчение. Госпитализация не потребовалась — после удаления «незваных гостей» женщину отпустили домой под наблюдение.

