Медики в Красногорской больнице достали из мочевого пузыря 46-летней женщины косметический карандаш. На данный момент ее уже выписали из больницы, сообщает РИА Новости со ссылкой на министерство здравоохранения Московской области.
По информации ведомства, в приемное отделение Красногорской больницы обратилась женщина. Она заявила, что сама засунула карандаш в мочеиспускательный канал. В итоге он оказался в мочевом пузыре. Ей понадобилась срочная медицинская помощь.
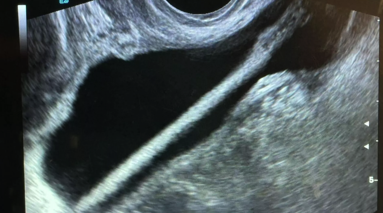
Сначала медики провели УЗИ, а после операцию, во время которой они вытащили карандаш. Все прошло успешно и без осложнений. Женщину уже отпустили домой.

