KAZANFIRST

  • Общество
  • Экономика
  • Интервью
  • Политика
  • Спорт
  • Криминал
  • Происшествия
  • Фото
  • Статьи
  • Новости
  • Интервью
  • Фото
  • Сюжеты
  • Видео

Главная → зубной врач

Метка: зубной врач

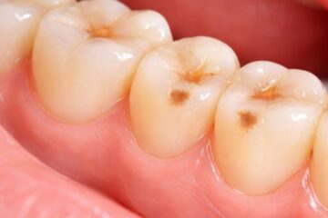
Стоматолог объяснила, как сахар на самом деле разрушает зубы

18:01 | 22-03-2026   Общество  
Сахар сам по себе не разъедает зубную эмаль, но создает в полости рта идеальную среду для бактерий, которые делают это за него. Врач-стоматолог Пензенской стоматологической поликлиники Мария Латанская рассказала об этом в рамках недели ответственного отношения к здоровью полости рта,...

ИНТЕРЕСНОЕ

22-03-2026 Экономика
Технологичное меню для животных: зачем Татарстан запасает корма на полтора года вперед
22-03-2026 Экономика
Турпоток растет, маржа падает: как рынок глэмпингов Татарстана живет в новых реалиях
  • О проекте
  • Рекламодателям
  • Редакция
  • Политика конфиденциальности
СЛЕДУЙ ЗА НАМИ В СОЦСЕТЯХ
  • Link to Vk
  • Link to Telegram

На сайте применяются рекомендательные технологии (информационные технологии предоставления информации на основе сбора, систематизации и анализа сведений, относящихся к предпочтениям пользователей сети «Интернет», находящихся на территории Российской Федерации).

KAZAN FIRST

© Kazanfirst 2013 – 2025 all rights reserved

 Студия ЯЛ - создание сайтов для СМИ