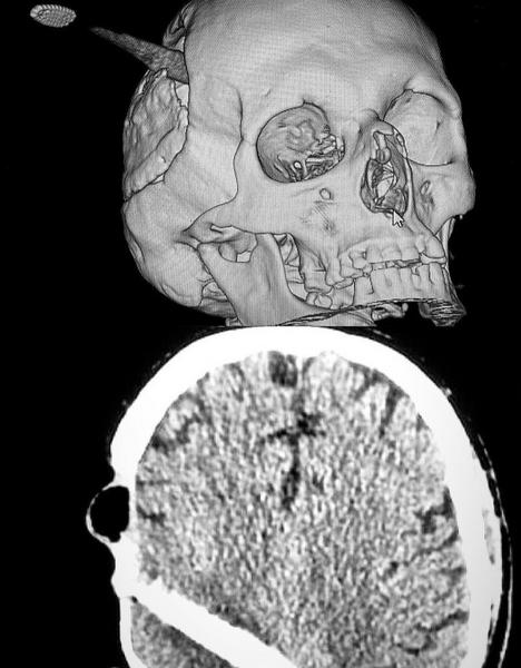
В татарстанской РКБ медики вытащили зубную щетку из головы мужчины, которая вошла в мозг. Находившегося в созании пациента привезли в больницу ночью 21 февраля, сообщили в Инстаграм-аккаунте больницы.
Жителя Казани сразу повезли на КТ, позже выяснилось, что жизненно важные участки не задеты. Но срочно нужна была операция. Пациентом оказался врач из далекого региона. Полтора года назад он получил тяжёлую травму головы, перенёс открытую операцию на головном мозге. Долго восстанавливался и продолжал оперироваться, чтобы восстановить кожу в области травмы.

Как отметили в РКБ, щетка вошли в мозг почти по самую щетину в то место, где была первая травма. Однако мужчине повезло — сглаженные края ручки зубной щётки как бы «раздвинули» мозг.
— Не было обильного кровоизлияния, гематомы и как такового сдавления головного мозга, – подчеркнули в медучреждении.
Хирурги отделения нейрохирургии №2 аккуратно извлекли щетку из головы, предполагая любой исход. Из-за внезапного кроветечения мужчина мог умереть, но пролившаяся 4 часа операция прошла хорошо. Врачи совместно с микрохирургом сделали пластику кожных покровов.
— Через пару дней врача-пациента перевели из реанимации в отделение, и он постепенно пошёл на поправку. Как зубная щетка оказалась в черепе, история умалчивает. Но наш герой однозначно «родился в рубашке», – сообщили в клинике.
Ранее KazanFirst писал, что министр здравоохранения Татарстана Марат Садыков обратился к президенту республики Рустаму Минниханову с просьбой построить в Казани перинатальный центр.
Читайте также: Врачи ДРКБ прооперировали девочку, у которой произошло слияние мочевой и половой системы









Comment section