В РКБ Татарстана прооперировали 73-летнего жителя Нижнекамского района, у которого обнаружили опухоль в лёгком и аневризму аорты. О спасении мужчины рассказали в лечебном учреждении.
По данным специалистов, пенсионер начал задыхаться ещё в ноябре 2024 года. Несколько лет назад врачи диагностировали у него болезнь, при которой происходит расширение альвеол (мельчайших составляющих легочной ткани). Это приводит к повышению содержания воздуха в лёгких. Жена Вячеслава забила тревогу, когда он уже не мог спокойно спать, и тут же повезла его к доктору.
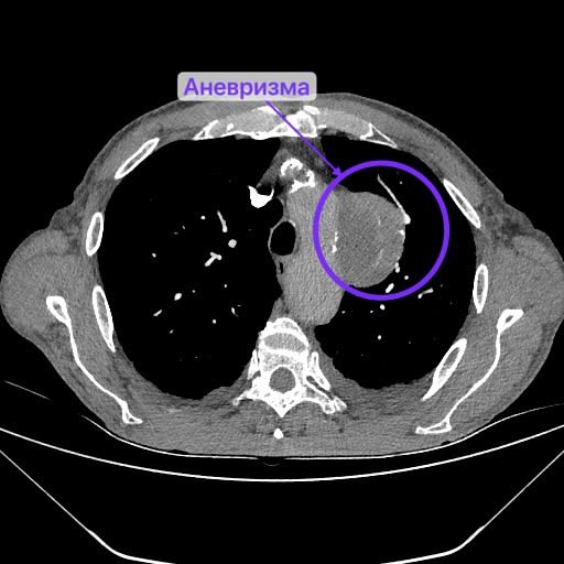
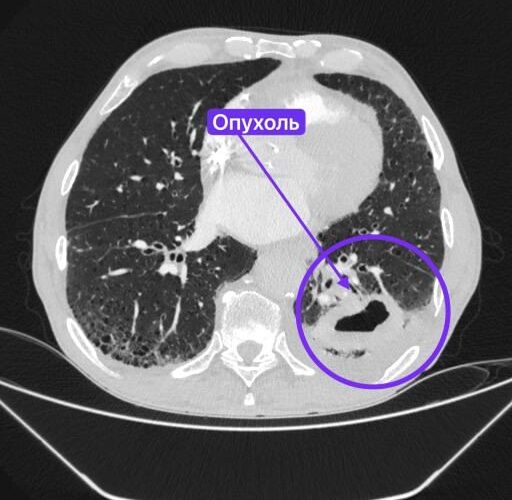
Медик направил мужчину в стационар, где он пролежал три недели. Врачи Нижнекамской ЦРМБ обследовали пациента и обнаружили образование, после чего рекомендовали взять направление к онкологу по месту жительства. Все это случилось под новогодние праздники. Поэтому к онкологу Вячеслав попал только в январе. Оказалось, что за это время в легком развился абсцесс, а на аорте образовалась аневризма.

Консилиумы в Набережных Челнах и Нижнекамске приняли решение, что мужчину невозможно оперировать в их условиях. В результате пациента направили в Казань. В РКБ его еще раз обследовали, взяли биопсию, чтобы определить характер опухоли.
«Оперировать легкое было опасно, аневризма, как бомба, могла разорваться в любой момент. Поэтому сначала за пациента взялись рентген-хирурги – установили стент-графт (устройство для укрепления стенок аорты), чтобы предотвратить разрыв аневризмы. Стент-графт подбирается индивидуально под каждого пациента. После чего мужчину наблюдали и лечили в отделении сосудистой хирургии. К моменту перевода в торакальное отделение №1 хирурги получили результаты биопсии», — поделились специалисты.

Выяснилось, что у Вячеслава была злокачественная опухоль, которая начала разрушаться. В итоге через мини-разрез убрали образование, пораженные ткани и лимфоузлы. Операция прошла успешно. Пациент достаточно быстро пошел на поправку. Сейчас мужчина уже дома. Ему предстоит пройти курс химиотерапии.
Ранее KazanFirst писал про бабушку из Татарстана, которая активно помогает бойцам СВО, несмотря на три перенесенных стентирования. Пожилая женщина вяжет носки для военнослужащих, ежедневно привозит необходимое в точки гуманитарных сборов, следит за палисадниками во дворе и совсем не сидит на месте.









Comment section